¡Hola mis pacientes!
Hace poco recibí a un paciente que tenía mucha sensibilidad en sus dientes, literalmente no puede tomar ni agua fría ni un buen té caliente porque simplemente no lo resiste, sufre de mucha sensibilidad. Si este es tu caso sigue leyendo porque voy a contarte sobre una de las posibles causas!
¡Comencemos!
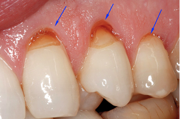
En este caso que les acabo de comentar el paciente presenta lesiones no cariosas. Es una lesión que la podemos ver en el cuello de la corona de los dientes que se ve así:
Lo que ven allí es la dentina (segunda capa del dientes de afuera hacia adentro), porque se ha desgastado el esmalte 🙁
¿Por qué el paciente ha perdido el esmalte?
¿Recuerdas esa vieja canción que dice “los dientes de abajo se cepillan hacia arriba y los dientes de arriba se cepillan hacia abajo”? Pues éste paciente definitivamente no siguió el consejo de la canción. Seguramente se ha cepillado de derecha a izquierda con un cepillo de cerdas duras causando abrasión al cepillarse lo que ha traído como consecuencia la perdida del esmalte a nivel del cuello como lo he mostrado en la fotografía de arriba.
¿Cuál es la solución?
La solución a este problema tiene dos etapas:
La primera es asistir al odontólogo para implementar un sellado con resina, de esta manera básicamente lo que hacemos es rellenar las zonas donde se ha perdido el esmalte, para cubrir de nuevo la dentina y así evitar que vuelva a estar en contacto con cualquier tipo de bebida o comida.
Y la segunda es cambiar el hábito de cepillado, ya no puedes continuar cepillando tus dientes con un cepillo de cerdas duras ni hacerlo de derecha a izquierda. Debes comprar un cepillo de cerdas suaves o medianas y esta vez si seguir las instrucciones de la canción 🙂
El video
En este video de mi cuenta de Instagram @doctoraveronica pueden ver un caso real del paciente que me llegó.

